据统计,我国颈椎病患者超过2亿,其中20~40岁的青年颈椎病的患病率高达59.1%,80%以上的青少年颈椎处于亚健康状态。

生活中随处可见的低头族,小心你们的颈椎哦!别低估了低头带给颈椎的伤害。研究表明,低头每增加15度,颈椎的负担就会增加一倍。如图:

可见低头幅度最大的时候,你的颈椎负担重量相当于挂了一袋50斤大米,时间久了,你的颈椎就会反抗了,各种方式折磨你。
一、颈椎病的定义
颈椎病是颈椎骨关节炎、增生性颈椎炎、颈神经根综合征、颈椎间盘突出症的总称,是一种以退行性病理改变为基础的疾患。
二、颈椎病的分型
1. 颈型颈椎病
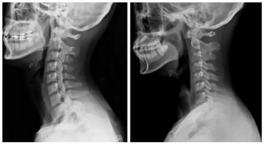
因长时间低头、过度疲劳或颈部着凉而发病。X线显示颈椎生理曲度变直或反弓,椎体边缘增生,椎间隙轻度变窄。表现为颈部僵硬疼痛,活动受限。
2.神经根型颈椎病
颈脊神经根受压所致,突出物多为椎间盘或椎体后缘骨刺。表现为上肢放射性疼痛或麻木,颈部僵硬疼痛。MRI检查可显示骨刺或椎间盘突出压迫神经根。

3.脊髓型颈椎病
脊髓受压或影响脊髓的血液循环导致,表现为上肢麻木、灼痛、无力、持物不稳等,下肢麻木、沉重、可有灼烧感、冰凉感、行走不稳。MRI检查可显示脊髓受压,椎管变细。症状严重,需手术治疗。

4.椎动脉型颈椎病
椎动脉受压使其管腔狭窄。表现为转头时头晕、偏头痛、听力视力减退。磁共振血管造影能看到椎动脉受压后狭窄。

5.交感型颈椎病
椎间盘退变和节段性不稳定等因素,产生交感神经功能紊乱。表现为头晕、头痛、注意力不集中、记忆力减退、胸闷、心率血压失常、腹胀、消化不良、多汗、无汗等。
6.混合型颈椎病
出现上述两种或两种以上颈椎病症状和体征。常发现于病程较长的人群。
三、颈椎病的康复治疗
1.物理因子治疗
超声波疗法、冲击波治疗、低中频电疗法(TENS、中频电疗法)、高频(微波、超短波)、光疗等。能改善局部血液循环,放松痉挛肌肉,缓解症状。

2.牵引治疗
颈椎牵引常作为颈型、神经根型和交感神经型颈椎病的首选疗法,可有效解除颈部肌肉痉挛,使肌肉放松,缓解疼痛;改善或恢复颈椎正常生理曲度;使椎间孔增大,解除神经根的刺激和压迫;增大椎间隙,减轻椎间盘内压力等。

3.手法治疗
关节松动手法(Maitland)、悬吊治疗(S-E-T)、脊椎矫正手法等。

4.运动治疗
麦肯基疗法(Mckenzie)等。适用于各型颈椎病症状缓解期及术后恢复期的患者。

四、颈椎病的预防
1. 选择合适的枕头
高枕并不能无忧!枕头压缩后有自己一个拳头的高度为宜,颈部比后脑勺高3~5厘米,不要太软,要能支撑颈部。

2. 正确的姿势
无论坐着还是站着看手机、书或是电脑,都要保持颈椎中立位,平视物体。

3. 自我锻炼
每个动作活动到末端停留3~5秒再回到中立位,动作速度要缓慢,不要快速剧烈运动。

最后,夏天到了,提醒大家在吹风扇或是空调时注意颈部别受凉哦!
康复医学科咨询电话
0571-26282890

康复医学是杭州未来科技城医院重点建设专科之一,根据国际化康复理念,配置国际一流的上下肢智能康复机器人、虚拟现实行走训练智能跑台等专业康复设备设施,引进一流的康复人才团队,针对各种原因引起的功能障碍,通过中西医结合康复治疗手段,达到病而不伤、伤而不残、残而不废的目标。
医院康复医学科开设门诊、康复病房(目前拥有4个康复病区,床位200张)、康复评估室、运动康复大厅、物理因子治疗室(光疗磁疗室、低中频电疗室、牵引治疗室、高频电疗室、熏蒸蜡疗室、超声波治疗室、冲击波治疗室)、言语吞咽治疗室、心肺康复治疗室、儿童康复治疗室、作业康复治疗室、传统康复治疗室及康复工程室等多个专业康复室,治疗场地总面积达1500平方米,康复评估、训练设备总价超过2000多万。
科室诊疗范围
骨科疾病康复(含骨折、关节置换、颈椎病、腰椎病、关节炎等);神经系统疾病康复(包含脑卒中、脊髓损伤、脑外伤、神经肌肉系统疾病等);儿童康复(含各型脑瘫、脑发育不良、智力低下、臂丛神经损伤、髋关节发育不良、自闭症、行为异常、感觉统合障碍等);心肺相关疾病(含COPD、心肺术后、心肌缺血、冠心病、心脑血管高危因素者等);运动损伤康复(含膝关节韧带损伤、半月板损伤、踝扭伤、肌腱断裂术后、网球肘等)。